منتدى بني عزيز الرسمي  من مطير

منتدى بني عزيز الرسمي من مطير (http://www.azizenet.net/vb/index.php)
-   هطول مختلف(يختص بالمواضيع العامه) (http://www.azizenet.net/vb/forumdisplay.php?f=75)
-   -   استغل شهر رمضان بلاقلاع عن التدخين (http://www.azizenet.net/vb/showthread.php?t=16189)

الليث 07-31-2012 02:50 PM

استغل شهر رمضان بلاقلاع عن التدخين
 
كيف تقلع عن التدخين؟ يمكنك اتباع الخطوات التالية للإقلاع عن التدخين:

1 - قرَّر بشكل قاطع أنك تريد الإقلاع عن التدخين، فإن ذلك كما يقول الله تعالى: "مِنْ عَزْمِ الأُمُور".

http://www.7alaba.com/ali/smok.gif

2 - حدِّد موعد الإقلاع عن التدخين، وليكن في أقرب فرصة، ولا تسمح لنفسك بالتأجيل حتى لا يؤثر ذلك على شخصيتك وقرارك .

http://www.7alaba.com/ali/smok.gif

3 - استعن بالله وادعه مخلصًا أن يمنحك القوة والتوفيق لتحقيق ذلك، قال النبي (صلى الله عليه وسلم): "وإذا استعنت فاستعن بالله".

http://www.7alaba.com/ali/smok.gif

4 - ضع أمام عينيك دائمًا أخطار التدخين وعواقبه الوخيمة، وتذكَّر أن الله سيسألك عن الصحة، والعمر، والمال.

http://tbn3.google.com/images?q=tbn:...s/H1e58455.jpg

5 - حاول أن تجد رفيق لك من المدخنين (قريب – صديق – زميل)؛ لتتعاهدا معًا على ترك التدخين، فهذا أدعى للخير، ويزيدك إصرارًا على ترك التدخين، والمرء بإخوانه لا بنفسه فقط، قال الله تعالى: "وَتَعَاوَنُوا عَلَى الْبِرِّ وَالتَّقْوَى وَلا تَعَاوَنُوا عَلَى الإِثْمِ وَالْعُدْوَان"، وقول النبي (صلى الله عليه وسلم): "من دل على خير فله أجر مثل فاعله".

http://www.7alaba.com/ali/smok.gif

6 - احذر أصدقاءك الذين يحاولون تنحيتك عن الإقلاع عن التدخين، وتذكَّر حديث رسول الله (صلى الله عليه وسلم): "المرء على دين خليله، فلينظر أحدكم من يخالل".

http://www.7alaba.com/ali/smok.gif

7 - أبلغ زوجك وأهلك ومن تثق بهم بقرارك، فإنهم سيكونون مصدر دعم مهم لك إن شاء الله.

http://www.7alaba.com/ali/smok.gif

8 - قرِّر أن تقتطع مبلغ المال الذي كنت تصرفه على التدخين للتبرُّع به للفقراء واليتامى بشكل يومي؛ لأن الله تعالى يقول: "وَمَا تُقَدِّمُوا لأَنْفُسِكُمْ مِنْ خَيْرٍ تَجِدُوهُ عِنْدَ اللهِ هُوَ خَيْرًا وَأَعْظَمَ أَجْرًا".

http://www.7alaba.com/ali/smok.gif

9 - استثمر الصيام في تدعيم قرارك؛ فكن أكثر قربًا لله ومراقبة له لقوله تعالى : "مَا يَكُونُ مِنْ نَجْوَى ثَلاثَةٍ إِلاَّ هُوَ رَابِعُهُمْ وَلا خَمْسَةٍ إِلاَّ هُوَ سَادِسُهُمْ وَلا أَدْنَى مِنْ ذَلِكَ وَلا أَكْثَرَ إِلاَّ هُوَ مَعَهُمْ أَيْنَمَا كَانُوا ثُمَّ يُنَبِّئُهُمْ بِمَا عَمِلُوا يَوْمَ الْقِيَامَة".

http://www.7alaba.com/ali/smok.gif

10 - سيتولد لديك صراع داخلى للعودة إلى التدخين؛ فتذكر قول الله تعالى: "إِنَّ الَّذِينَ اتَّقَوْا إِذَا مَسَّهُمْ طَائِفٌ مِنَ الشَّيْطَانِ تَذَكَّرُوا فَإِذَا هُمْ مُبْصِرُون"، ولا تنس قول الله تعالى: "وَإِمَّا يَنْزَغَنَّكَ مِنَ الشَّيْطَانِ نَزْغٌ فَاسْتَعِذْ بِاللهِ إِنَّهُ سَمِيعٌ عَلِيم".

http://www.7alaba.com/ali/smok.gif

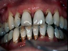
11 - اذهب لطبيب الأسنان واطلب منه أن يزيل كل رواسب وأوساخ التدخين من أسنانك؛ للتخلص من آثاره ورائحته الكريهة، ثم استعمل السواك والفرشاة والمعجون، وتذكَّر قول النبي (صلى الله عليه وسلم): "السواك مطهرة للفم مرضاة للرب".

http://tbn2.google.com/images?q=tbn:...d85e87d5fc.jpg

12 - تذكر أنك في شهر الصوم، وأن ذلك يقتضي ترك الخبائث والمنكرات، والتدخين من الخبائث والمضار التي يجب تركها قال تعالى : وَيُحِلُّ لَهُمُ الطَّيِّبَاتِ وَيُحَرِّمُ عَلَيْهِمُ الْخَبَائِث".

http://www.7alaba.com/ali/smok.gif

13 - اعلم أن غالبية الانتكاسات تحدث خلال الأشهر الثلاثة الأولى بعد الامتناع عن التدخين، فعليك أن تكون مستعدًّا لمواجهة كل الظروف التي كانت تدعوك للتدخين، مثل: حالات (القلق - والتوتر – الانزعاج – إرضاء الآخرين)، وابحث عن وسائل معقولة ومشروعة؛ لأن التدخين لا يساعد المخ على حل أي مشكلة، وتذكَّر أن من يتقِ الله يجعل له مخرجًا.

http://www.7alaba.com/ali/smok.gif

14 - عليك ألا تخلط بين التدخين والارتياح أو الإبداع؛ لأن الأبحاث والدراسات أكدت غير ذلك.

http://www.7alaba.com/ali/smok.gif

15 - تذكَّر أن قوة الإرادة والعزيمة التي تتجلى في الصيام والامتناع عن المفطرات والشهوات هي عون كبير جدًّا على الإقلاع عن التدخين والتخفيف من آثاره الانسحابية إلى حد كبير؛ فاستعن بالصبر والصلاة، ولا تدع الفرصة تفوتك في رمضان.

http://www.7alaba.com/ali/smok.gif

16 - بعد إقلاعك عن التدخين ستشعر باضطرابات في النوم أو تعب أو توتر، وتأفف أو جفاف بالفم.. هذه أعراض طبيعية في البداية؛ لأن الجسم ما زال متعلقًا بالنيكوتين؛ خذ قسطًا من الراحة، ولا ترهق نفسك في هذه الفترة، وامتنع عن تناول القهوة والشاي والمشروبات الغازية المحتوية على الكافيين بعد الإفطار، وجرِّب تمارين الاسترخاء والراحة النفسية، وخذ حمامًا دافئًا قبل النوم، واستشر طبيبًا إذا دعت الضرورة، واستعن على تلك الصعوبات بكل ما يمكن أن يقويك: (حسن الصلة بالله سبحانه، التقوى، والعبادة - الدعم العائلي – الإرادة القوية).

http://www.7alaba.com/ali/smok.gif

17 - تجنب الأماكن التي يكثر فيها التدخين والمدخنون، وتذكر قول رسول الله (صلى الله عليه وسلم): "فمن اتقى الشبهات استبرأ لدينه وعرضه".

http://www.7alaba.com/ali/smok.gif

18 - إن كنت ممن يرون أن شرب السيجارة حلال، فلما لا تُسَمِّ الله قبل بداية كل سيجارة كأي شراب أحله الله عز وجل؟

http://www.7alaba.com/ali/smok.gif

19 - وإن كنت ممن يرون أن شرب السيجارة حلال، فلماذا لا تحمد الله بعد نهاية كل سيجارة كأي شراب أحله الله؟

http://www.7alaba.com/ali/smok.gif

20 – إذا كنت ممن يرون أن السيجارة نعمة، فلماذا دائمًا تَطَؤُها بالحذاء عندما تنتهي من شربها؟

http://www.7alaba.com/ali/smok.gif

21 – إذا كانت السيجارة شيئًا عاديًّا، فلماذا لا تشربها أمام والديك أو رؤسائك في العمل؟

http://www.7alaba.com/ali/smok.gif

22 - إذا كنت ترى أن السيجارة متعة خاصة، فلماذا لا تعلمها أولادك أو توصيهم بها؟

http://www.7alaba.com/ali/smok.gif

23 – خذ قرارك بصدق، وتأكد أن الله سيكون في عونك

http://www.roro44.com/ramadan/Ramada...-Ramadan-2.gif


الساعة الآن 12:01 AM.

Powered by vBulletin® Version 3.8.4
Copyright ©2000 - 2026, Jelsoft Enterprises Ltd

 

"جميع المشاركات المكتوبة تعبّر عن وجهة نظر صاحبها ... ولا تعبّر بأي شكل من الأشكال عن وجهة نظر المنتدى "

vEhdaa 1.1 by NLP ©2009